100 long packets containing 600 individual cases. Domains are divided to give the greatest breadth and depth to each and every imaging packet.
A huge range of imaging studies are included, with examples including:
Common conditions and “never miss” diagnoses are amply provided across the long examination packets, but rare pathologies have been carefully included to test candidates on their imaging interpretation skills and ability to think under pressure. Rare malignancies and unusual presentations of common conditions should be expected.
If you have never seen a Sacrococcygeal Teratoma or Vein of Galen Malformation before, myFRCR is the place. If you want to gain confidence in diagnosing the various bone malignancies, such as a Clear Cell Chondrosarcoma versus a Chondroblastoma, myFRCR will help you. If you just want to pass the FRCR exam comfortably, myFRCR will give you the best possible chance at achieving your goal.
50 short packets containing 1250 individual cases. Domains and population type are kept to the RCR exam guidance with the following mixture in each exam packet:
Of which:
75% Adult
25% Paediatric
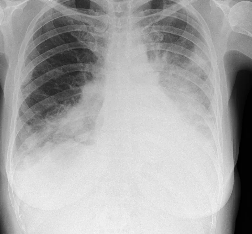
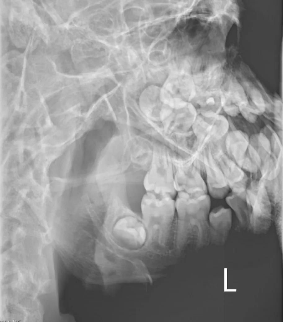
Extensive coverage of practically all possible radiograph presentations of both common and rare conditions in Chest, Abdominal and Musculoskeletal radiology have been included.
Classical Chest signs included:
Numerous chest illnesses and disorders also covered:
A similar depth of detail is given to MSK:
Master your FRCR 2B examination with authentic, expert-created content. Access 1,250+ short cases (2,000+ radiographs) across 50 packets, plus 600+ long cases (1,000+ cross-sectional images) in 100 packets. Every image is a full lossless DICOM at diagnostic workstation quality, following RCR display guidelines. No AI-generated content – all cases, questions, and answers are meticulously crafted by experienced radiologists.
1,250+
Short Cases
600+
Long Cases
>1M
DICOM Studies
>600GB
Medical Imaging
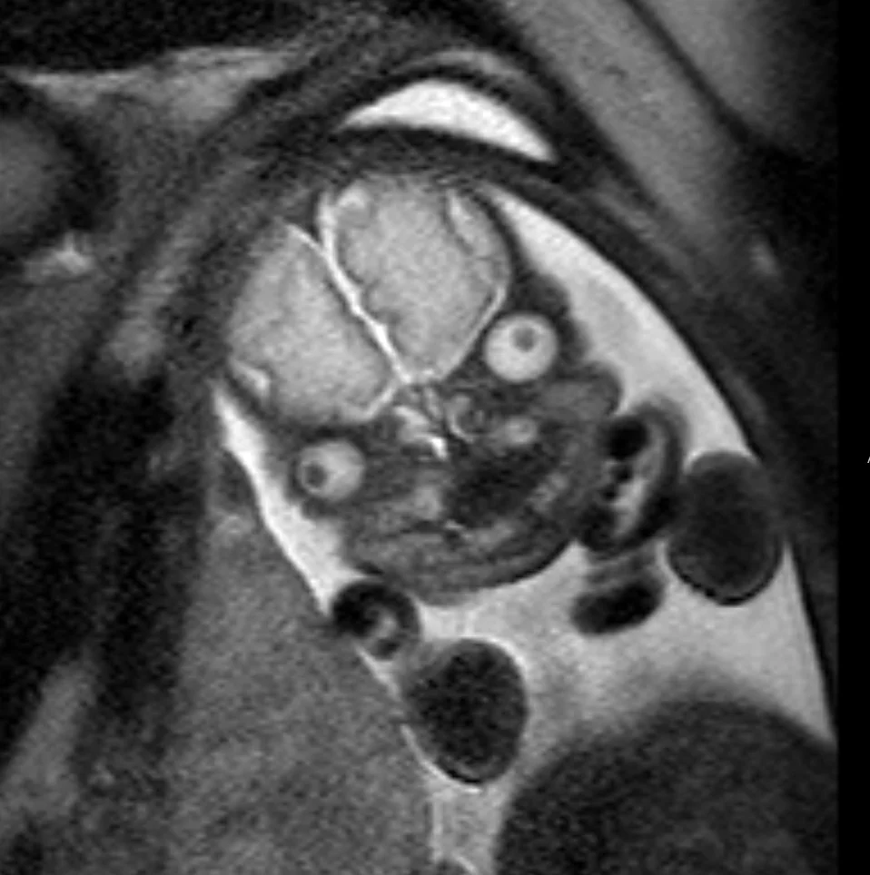
MyFRCR is the largest and most comprehensive revision resource for the FRCR 2B exam available online and in print. The considerable and unprecedented size of the myFRCR case database allows complete coverage of the FRCR in all its domains. More than 3000 individual image studies are used across 1850 questions (600 longs, 1250 shorts). Common presentations are complimented with complex and rare cases, to push your revision and clinical acumen to the maximum.
Everything you need to pass your FRCR 2B
1,250+ Short Cases
2,000+ radiographs across 50 packets
600+ Long Cases
1,000+ cross-sectional images in 100 packets
Unlimited Practice
Repeat packets as many times as needed
Progress Tracking
Detailed analytics and performance insights
Expert Feedback
Examiner-style marking and explanations
DICOM Viewer
Full diagnostic workstation quality
🔒 Secure Payment • Cancel anytime
Everything you need to pass your FRCR 2B
1,250+ Short Cases
2,000+ radiographs across 50 packets
600+ Long Cases
1,000+ cross-sectional images in 100 packets
Unlimited Practice
Repeat packets as many times as needed
Progress Tracking
Detailed analytics and performance insights
Expert Feedback
Examiner-style marking and explanations
DICOM Viewer
Full diagnostic workstation quality
🔒 Secure Payment • Cancel anytime
Questions about pricing? Check our FAQ section or contact us

Experience authentic FRCR 2B preparation with our professional DICOM viewer displaying full lossless images at diagnostic workstation quality. Access 1,250+ short cases and 600+ long cases – all created by expert radiologists with zero AI-generated content.
MyFRCR is the UK's premier FRCR 2B exam platform, offering 1,250+ authentic short cases with 2,000+ radiographs and 600+ long cases with 1,000+ cross-sectional images. Our commitment to non-AI, expert-created content with full lossless DICOM quality ensures candidates receive genuine exam preparation.
2,000+ radiographs and 1,000+ cross-sectional images in full lossless DICOM format.
Custom DICOM viewer powered by AWS cloud infrastructure for reliable, high-performance medical imaging delivery.
Following RCR PACS guidelines for diagnostic display quality standards.
Zero AI content – all cases created by expert consultant radiologists.
